Инсульт – это острое нарушение мозгового кровообращения, в результате которого у человека нарушаются различные функции (двигательные, чувствительные, речевые и т.д.), которые контролирует головной мозг. В основе любого инсульта лежат сосудистые нарушения. Это может быть разрыв, спазм, сужение (стеноз) или полное закрытие просвета сосуда (окклюзия). Речь пойдет об ишемическом инсульте, развивающемся при резком спазме, стенозе или окклюзии сосудов, приносящих кровь к головному мозгу, – парных сонных, позвоночных и подключичных артериях.
Рис. 1. Атеросклеротическая бляшка в просвете сонной артерии.
Наиболее частой причиной сужения или окклюзии артерии является отложение на внутренних стенках сосуда атеросклеротических бляшек (рис. 1). Бляшка состоит из рубцовой ткани, крови, холестерина и других жирных веществ. Увеличение бляшки сужает артерию и замедляет кровоток. На бляшках могут образовываться сгустки крови – тромбы, еще больше препятствующие кровотоку. Части тромба или атеросклеротической бляшки могут отделяться и с током крови попадать в артерии головного мозга. В результате чего происходит так называемая эмболия сосудов головного мозга – закупорка сосуда эмболом. В любом случае – увеличения атеросклеротической бляшки, тромба или эмбола – уменьшается или совсем закрывается просвет сосуда, кровоснабжающего тот или иной участок головного мозга. Результатом этого будет ухудшение или исчезновение каких-то функций человека, вплоть до внезапной, быстрой смерти. Риск для жизни возрастает при наличии поражения артерий с обеих сторон.
Большинство людей с поражением артерий, питающих мозг, не имеют никаких признаков заболевания. При наличии же каких-либо признаков нарушения кровообращения мозга, даже незначительных, риск возникновения ишемического инсульта повышается в несколько раз. Наиболее частыми признаками являются головная боль, головокружение, слабость или онемение какой-либо части тела: языка, лица, руки или ноги, чаще с одной стороны; нарушение зрения, расстройство речи. Эти признаки возникают внезапно и проходят через несколько минут или часов. Их называют транзиторными, т.е. приходящими, ишемическими атаками. У 30 процентов людей, перенесших ишемическую атаку, в последующем случается мозговой инсульт.
Предотвратить инсульт возможно тогда, когда у пациента обнаружат стеноз артерий и постараются ликвидировать его, восстановив кровоснабжение головного мозга.
Факторы риска возникновения инсульта:
- Атеросклероз
- Сахарный диабет
- Повышенное артериальное давление
- Курение
- Употребление жирной пищи
- Лишний вес
- Повышенное тромбообразование
Диагностика стенозов сонных артерий, питающих мозг
Для того чтобы определить, есть ли у пациента стенотические поражения артерий или нет, врач осмотрит его. Даже при отсутствии субъективных признаков болезни врач может выслушать шум над артериями, вызванный током крови через стенозированный участок сосуда. В случае необходимости пациенту будет назначена ультразвуковая доплерография магистральных артерий головы (УЗДГ МАГ) или магнитно-резонансная томография (МРТ), или ангиография. Каждый из этих методов исследования имеет свои показания.
Рис. 2. УЗДГ сонных артерий. Стенозы (вверху) и извитости (кинкинг) сонных артерий (внизу).
УЗДГ во всем мире является «золотым стандартом» скрининга атеросклероза, т.е. врачи используют этот метод при массовом обследовании людей для выявления лиц с этой болезнью. Он является доступным, менее затратным, чем другие методы исследования. УЗДГ выявляет изменение объема кровотока в сосуде, степень сужения данного сосуда, по определенным признакам может указать, что причиной сужения сосуда является атеросклеротическая бляшка в его стенке (рис. 2). Если артерия сужена на 50 процентов и более, для более детальной оценки состояния сосуда врач может порекомендовать пациенту ангиографию – рентгеноконтрастное исследование кровеносных сосудов.
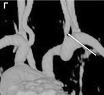
МРТ – это компьютерное исследование, тоже скрининговый метод, он дороже УЗДГ почти в 4 раза. Показанием для проведения этого метода исследования служат подозрения на патологические изменения в структурах мозга, в том числе и в сосудистом русле, находящемся внутри черепной коробки (рис. 3).





Рис. 3. МРТ-реконструкция брахиоцефальных артерий.
(Магнитно-резонансная ангиография артерий). Белыми стрелками показаны: сужение (стеноз) правой внутренней сонной артерии (А); стеноз левой сонной артерии и закупорка (окклюзия) правой (В); окклюзия левой внутренней сонной артерии (В); стеноз правой позвоночной артерии (Г); извитость правой и левой сонных артерий (Д)).
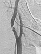
Ангиография – это наиболее точный метод, позволяющий увидеть на экране рентгеновской установки то, что происходит внутри сосуда (рис. 4). С него начинают, если пациент уже перенес инсульт и по данным УЗДГ МАГ выявлены значимо ограничивающие кровоток сужения сосуда, то есть высок риск повторения инсульта. Исследование проводится в специальной операционной, оснащенной ангиографической установкой.

Рис. 4. Критические стенозы внутренней сонной артерии (ангиография).
Во время ангиографии очень тонкий катетер вводится в артерию на ноге и продвигается к сосудам шеи. Место введения катетера будет обработано антисептиком и обезболено. После этого через катетер вводится контрастное вещество, делающее видимыми артерии, питающие мозг, под рентгеновскими лучами. Врач произведет съемку артерии. Если есть стенозы или окклюзии артерий – они будут обнаружены.
В зависимости от полученных результатов врач выберет и предложит пациенту оптимальный для него способ лечения. Либо это будет операция на открытых сосудах, которую будут делать сосудистые хирурги, либо внутрисосудистая операция, выполняемая рентгенхирургами.
Хирургическое лечение стенозов артерий
На сегодняшний день во всем мире самым передовым и малотравматичным способом лечения стенозов любых периферических артерий является их стентирование. Как профилактика инсульта головного мозга стентирование выполняется на сонных, позвоночных, подключичных артериях, то есть тех, которые кровоснабжают головной мозг.
Стентированием называется установка в суженную часть артерии стента, который представляет собой металлическую трубочку, состоящую из ячеек. Cтент – это эндопротез. Он, как каркас, поддерживает артерию в расправленном состоянии, не позволяя ей спадаться. Благодаря этому восстанавливается внутренний просвет артерии и тем самым улучшается кровоснабжение головного мозга.

Рис. 5. Защитное устройство (фильтр) при стентировании сонных артерий.
Стентирование артерий, питающих головной мозг, обязательно выполняется со специальным защитным устройством – фильтром (рис. 5). Он представляет собой металлический каркас с мембраной и служит защитой от микроэмболии сосудов головного мозга во время операции. Стент с фильтром представляют единый комплекс. Первые этапы операции стентирования артерий, питающих головной мозг, осуществляются так же, как и ее ангиография: пункция бедренной артерии, проведение катетера к сосудам шеи и введение контрастного вещества.
Установив проводниковый катетер в пораженную атеросклерозом артерию, врач проводит проводник с фильтром выше места сужения артерии. Затем по проводнику в область стеноза устанавливается стент, который, расправляясь, вдавливает бляшку в стенку сосуда, тем самым восстанавливая просвет сосуда. На мониторе врач может увидеть и оценить полученный результат. В конце вмешательства удаляется фильтр и проводниковый катетер. Стент остается в артерии постоянно, поддерживая ее в раскрытом состоянии. После стентирования пациент какое-то время, назначенное врачом, проводит в больнице.
Послеоперационный период
После выписки из стационара ему необходимо строго соблюдать все рекомендации лечащего врача и регулярно принимать назначенные ему лекарства. От этого зависит успех выполненной операции. Придется приготовиться к длительному приему лекарственных препаратов. И избавиться от боязни привыкания к лекарству. Альтернатива тут проста: либо вы постоянно принимается лекарство, либо – инсульт повторится снова.
Речь идет, прежде всего, о дезагрегантах – лекарствах, препятствующих образованию тромбов и сгущению крови. Это так называемые «защищенные» аспирины, то есть те, что не вредят слизистой желудка, а также очень мощный дезагрегант клопидогрель (Плавикс).
Стентирование не излечивает от атеросклероза. С целью снижения возможности образования новых атеросклеротических бляшек в стенках артерий необходим длительный прием статинов (препаратов, препятствующих прогрессированию атеросклероза сосудов и нормализующих уровень холестерина в крови). И обязательно строгая коррекция АД. Не только постоянно измерять АД, но и контролировать, чтобы оно не повышалось выше 140/90 мм рт. ст., с помощью индивидуально подобранных гипотензивных препаратов. Следует регулярно посещать невропатолога, при появлении новых жалоб следует сразу обратиться к врачу.
Важно! Пациенты, перенесшие операцию стентирования, не становятся инвалидами, наоборот, стенирование улучшает качество жизни на многие годы. К инвалидности приводит инсульт и его осложнения. Когда стентирование проводится как мера спасения жизни при уже случившемся инсульте, тогда человек получает инвалидность на основании последствий инсульта, а не факта проведения стентирования.
Рис. 6. Каротидная эндартерэктомия.
В случаях, когда стентирование провести невозможно, пациенту предлагают хирургическую операцию на открытых сосудах – каротидную эндартерэктомию (рис. 6). При данной операции сосуд вскрывают и бляшку удаляют хирургическими инструментами.
Если у Вас бывают симптомы преходящего нарушения кровоснабжения головного мозга (транзиторные ишемические атаки) – обратитесь к Вашему врачу.
Помните – инсульт можно предотвратить!
Рис. 1. Атеросклеротическая бляшка в просвете сонной артерии.Наиболее частой причиной сужения или окклюзии артерии является отложение на внутренних стенках сосуда атеросклеротических бляшек (рис. 1). Бляшка состоит из рубцовой ткани, крови, холестерина и других жирных веществ. Увеличение бляшки сужает артерию и замедляет кровоток. На бляшках могут образовываться сгустки крови – тромбы, еще больше препятствующие кровотоку. Части тромба или атеросклеротической бляшки могут отделяться и с током крови попадать в артерии головного мозга. В результате чего происходит так называемая эмболия сосудов головного мозга – закупорка сосуда эмболом. В любом случае – увеличения атеросклеротической бляшки, тромба или эмбола – уменьшается или совсем закрывается просвет сосуда, кровоснабжающего тот или иной участок головного мозга. Результатом этого будет ухудшение или исчезновение каких-то функций человека, вплоть до внезапной, быстрой смерти. Риск для жизни возрастает при наличии поражения артерий с обеих сторон.
Большинство людей с поражением артерий, питающих мозг, не имеют никаких признаков заболевания. При наличии же каких-либо признаков нарушения кровообращения мозга, даже незначительных, риск возникновения ишемического инсульта повышается в несколько раз. Наиболее частыми признаками являются головная боль, головокружение, слабость или онемение какой-либо части тела: языка, лица, руки или ноги, чаще с одной стороны; нарушение зрения, расстройство речи. Эти признаки возникают внезапно и проходят через несколько минут или часов. Их называют транзиторными, т.е. приходящими, ишемическими атаками. У 30 процентов людей, перенесших ишемическую атаку, в последующем случается мозговой инсульт.
Предотвратить инсульт возможно тогда, когда у пациента обнаружат стеноз артерий и постараются ликвидировать его, восстановив кровоснабжение головного мозга.
Факторы риска возникновения инсульта:
- Атеросклероз
- Сахарный диабет
- Повышенное артериальное давление
- Курение
- Употребление жирной пищи
- Лишний вес
- Повышенное тромбообразование
Диагностика стенозов сонных артерий, питающих мозг
Для того чтобы определить, есть ли у пациента стенотические поражения артерий или нет, врач осмотрит его. Даже при отсутствии субъективных признаков болезни врач может выслушать шум над артериями, вызванный током крови через стенозированный участок сосуда. В случае необходимости пациенту будет назначена ультразвуковая доплерография магистральных артерий головы (УЗДГ МАГ) или магнитно-резонансная томография (МРТ), или ангиография. Каждый из этих методов исследования имеет свои показания.
Рис. 2. УЗДГ сонных артерий. Стенозы (вверху) и извитости (кинкинг) сонных артерий (внизу).УЗДГ во всем мире является «золотым стандартом» скрининга атеросклероза, т.е. врачи используют этот метод при массовом обследовании людей для выявления лиц с этой болезнью. Он является доступным, менее затратным, чем другие методы исследования. УЗДГ выявляет изменение объема кровотока в сосуде, степень сужения данного сосуда, по определенным признакам может указать, что причиной сужения сосуда является атеросклеротическая бляшка в его стенке (рис. 2). Если артерия сужена на 50 процентов и более, для более детальной оценки состояния сосуда врач может порекомендовать пациенту ангиографию – рентгеноконтрастное исследование кровеносных сосудов.
МРТ – это компьютерное исследование, тоже скрининговый метод, он дороже УЗДГ почти в 4 раза. Показанием для проведения этого метода исследования служат подозрения на патологические изменения в структурах мозга, в том числе и в сосудистом русле, находящемся внутри черепной коробки (рис. 3).





Рис. 3. МРТ-реконструкция брахиоцефальных артерий.(Магнитно-резонансная ангиография артерий). Белыми стрелками показаны: сужение (стеноз) правой внутренней сонной артерии (А); стеноз левой сонной артерии и закупорка (окклюзия) правой (В); окклюзия левой внутренней сонной артерии (В); стеноз правой позвоночной артерии (Г); извитость правой и левой сонных артерий (Д)).
Ангиография – это наиболее точный метод, позволяющий увидеть на экране рентгеновской установки то, что происходит внутри сосуда (рис. 4). С него начинают, если пациент уже перенес инсульт и по данным УЗДГ МАГ выявлены значимо ограничивающие кровоток сужения сосуда, то есть высок риск повторения инсульта. Исследование проводится в специальной операционной, оснащенной ангиографической установкой.

Рис. 4. Критические стенозы внутренней сонной артерии (ангиография).Во время ангиографии очень тонкий катетер вводится в артерию на ноге и продвигается к сосудам шеи. Место введения катетера будет обработано антисептиком и обезболено. После этого через катетер вводится контрастное вещество, делающее видимыми артерии, питающие мозг, под рентгеновскими лучами. Врач произведет съемку артерии. Если есть стенозы или окклюзии артерий – они будут обнаружены.
В зависимости от полученных результатов врач выберет и предложит пациенту оптимальный для него способ лечения. Либо это будет операция на открытых сосудах, которую будут делать сосудистые хирурги, либо внутрисосудистая операция, выполняемая рентгенхирургами.
Хирургическое лечение стенозов артерий
На сегодняшний день во всем мире самым передовым и малотравматичным способом лечения стенозов любых периферических артерий является их стентирование. Как профилактика инсульта головного мозга стентирование выполняется на сонных, позвоночных, подключичных артериях, то есть тех, которые кровоснабжают головной мозг.
Стентированием называется установка в суженную часть артерии стента, который представляет собой металлическую трубочку, состоящую из ячеек. Cтент – это эндопротез. Он, как каркас, поддерживает артерию в расправленном состоянии, не позволяя ей спадаться. Благодаря этому восстанавливается внутренний просвет артерии и тем самым улучшается кровоснабжение головного мозга.

Рис. 5. Защитное устройство (фильтр) при стентировании сонных артерий.Стентирование артерий, питающих головной мозг, обязательно выполняется со специальным защитным устройством – фильтром (рис. 5). Он представляет собой металлический каркас с мембраной и служит защитой от микроэмболии сосудов головного мозга во время операции. Стент с фильтром представляют единый комплекс. Первые этапы операции стентирования артерий, питающих головной мозг, осуществляются так же, как и ее ангиография: пункция бедренной артерии, проведение катетера к сосудам шеи и введение контрастного вещества.
Установив проводниковый катетер в пораженную атеросклерозом артерию, врач проводит проводник с фильтром выше места сужения артерии. Затем по проводнику в область стеноза устанавливается стент, который, расправляясь, вдавливает бляшку в стенку сосуда, тем самым восстанавливая просвет сосуда. На мониторе врач может увидеть и оценить полученный результат. В конце вмешательства удаляется фильтр и проводниковый катетер. Стент остается в артерии постоянно, поддерживая ее в раскрытом состоянии. После стентирования пациент какое-то время, назначенное врачом, проводит в больнице.
Послеоперационный период
После выписки из стационара ему необходимо строго соблюдать все рекомендации лечащего врача и регулярно принимать назначенные ему лекарства. От этого зависит успех выполненной операции. Придется приготовиться к длительному приему лекарственных препаратов. И избавиться от боязни привыкания к лекарству. Альтернатива тут проста: либо вы постоянно принимается лекарство, либо – инсульт повторится снова.
Речь идет, прежде всего, о дезагрегантах – лекарствах, препятствующих образованию тромбов и сгущению крови. Это так называемые «защищенные» аспирины, то есть те, что не вредят слизистой желудка, а также очень мощный дезагрегант клопидогрель (Плавикс).
Стентирование не излечивает от атеросклероза. С целью снижения возможности образования новых атеросклеротических бляшек в стенках артерий необходим длительный прием статинов (препаратов, препятствующих прогрессированию атеросклероза сосудов и нормализующих уровень холестерина в крови). И обязательно строгая коррекция АД. Не только постоянно измерять АД, но и контролировать, чтобы оно не повышалось выше 140/90 мм рт. ст., с помощью индивидуально подобранных гипотензивных препаратов. Следует регулярно посещать невропатолога, при появлении новых жалоб следует сразу обратиться к врачу.
Важно! Пациенты, перенесшие операцию стентирования, не становятся инвалидами, наоборот, стенирование улучшает качество жизни на многие годы. К инвалидности приводит инсульт и его осложнения. Когда стентирование проводится как мера спасения жизни при уже случившемся инсульте, тогда человек получает инвалидность на основании последствий инсульта, а не факта проведения стентирования.
Рис. 6. Каротидная эндартерэктомия.В случаях, когда стентирование провести невозможно, пациенту предлагают хирургическую операцию на открытых сосудах – каротидную эндартерэктомию (рис. 6). При данной операции сосуд вскрывают и бляшку удаляют хирургическими инструментами.
Если у Вас бывают симптомы преходящего нарушения кровоснабжения головного мозга (транзиторные ишемические атаки) – обратитесь к Вашему врачу.
Помните – инсульт можно предотвратить!
